Chụp và can thiệp động mạch vành – Bước tiến mới trong can thiệp tim mạch tại Bệnh viện đa khoa Quốc tế Hải Phòng
Câu chuyện bệnh nhân
Bệnh nhân M.T.B, 76 tuổi, ở Hàng Kênh, Lê Chân, Hải Phòng có bệnh sử đái tháo đường, tăng huyết áp, rối loạn mỡ máu, cường giáp. Khoảng 1 tuần nay, bệnh nhân xuất hiện đau ngực, khó thở, 2 ngày trở lại đây đau nhiều, vã mồ hôi, thường đau tăng về đêm, nghỉ ngơi không đỡ. Qua thăm khám, đánh giá và thực hiện cận lâm sàng cần thiết, điện tim biến đổi, men tim tăng, các bác sĩ Bệnh viện đa khoa Quốc tế Hải Phòng chẩn đoán bệnh nhân bị nhồi máu cơ tim cấp.
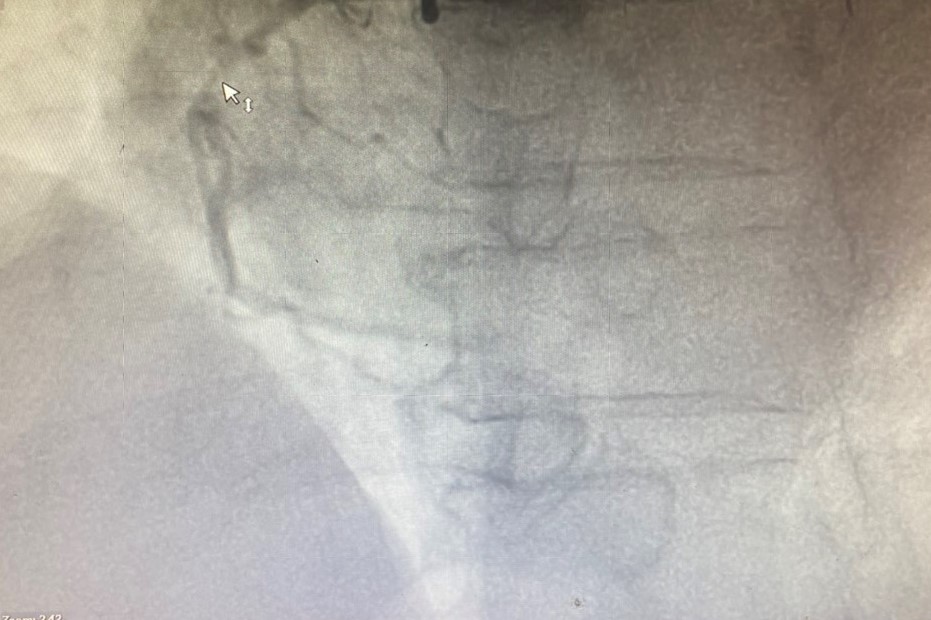
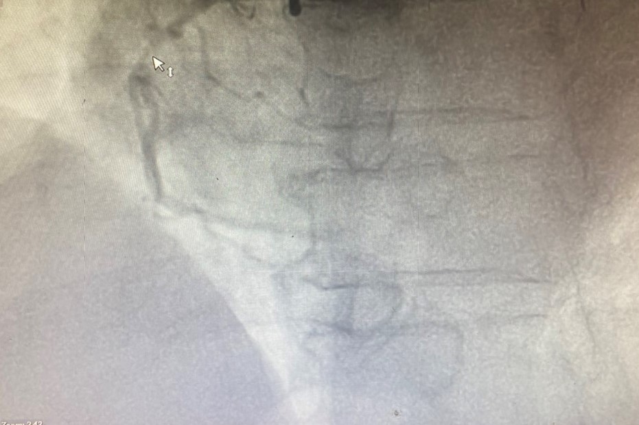
Bệnh nhân ngay sau đó được chỉ định chụp động mạch vành qua da, kết quả chụp xác định tổn thương dài, lan tỏa, hẹp 99% động mạch vành phải; 80-90% động mạch mũ, xơ vữa hẹp rải rác 50% động mạch liên thất trước. Dựa vào điện tim và lâm sàng, các bác sĩ đánh giá thủ phạm dẫn đến nhồi máu cơ tim lần này chính là động mạch vành phải gần tắc hoàn toàn của bệnh nhân. Nếu không được can thiệp kịp thời sẽ nguy hiểm đến tính mạng của người bệnh. Khi ấy, kíp Ths.BSNT Vũ Học Huấn – Trưởng Khoa Tim mạch – Đột quỵ, Ths.BS Phạm Văn Thuận cùng cộng sự đã nhanh chóng tiến hành kỹ thuật can thiệp đặt 2 stent động mạch vành phải thành công. Kết quả can thiệp tốt, ghi nhận sau đặt mạch vành tái thông, bệnh nhân hết đau ngực, nhịp tim cải thiện, sức khỏe dần phục hồi.
Kỹ thuật nhiều ưu điểm, thành công trong điều trị bệnh mạch vành
Bệnh Mạch vành (hay bệnh thiếu máu cục bộ cơ tim) là một trong những bệnh lý gây tử vong hàng đầu ở Việt Nam cũng như trên thế giới, là hậu quả của sự mất cân bằng cung-cầu oxy cơ tim do tưới máu không đủ, gây thiếu máu cơ tim hoặc hoại tử cơ tim. Bệnh xuất hiện khi một hoặc nhiều nhánh động mạch bị tắc nghẽn một phần hay hoàn toàn. Trong đó, kỹ thuật chụp động mạch vành giúp phát hiện chính xác chỗ nghẽn hay tắc mạch vành để được can thiệp, xử lý triệt để.
Ưu điểm của kỹ thuật chụp và can thiệp động mạch vành tại Bệnh viện đa khoa Quốc tế Hải Phòng là không gây đau đớn, thời gian tiến hành rất nhanh, hiệu quả và an toàn. Trong suốt quá trình thực hiện, bệnh nhân được đội ngũ bác sĩ Gây mê hồi sức gây tê, theo dõi sát về nhịp tim, huyết áp cùng các dấu hiệu sinh tồn liên tục trên máy theo dõi huyết động để từ đó bác sĩ can thiệp có thể bắt tay ngay vào thực hiện, tiến hành thông lòng động mạch vành bị tắc hẹp bằng dụng cụ như bóng hay giá đỡ (stent) cho bệnh nhân. Bệnh nhân có thể cảm nhận hiệu quả tức thời ngay sau khi can thiệp và cảm thấy khỏe hơn nhiều trong những ngày sau đó.

Bằng sự chuyển giao kỹ thuật từ Bệnh viện Đại học Y Hà Nội mà thời gian qua, Bệnh viện đa khoa Quốc tế Hải Phòng đã dần làm chủ, thực hiện thành công rất nhiều ca can thiệp động mạch vành, cứu sống kịp thời những ca nhồi máu cơ tim, bệnh lý mạch vành nguy hiểm. Điều này đặc biệt có ý nghĩa khi không chỉ giúp điều trị dứt điểm nhiều ca bệnh khó, khức tạp mà còn mang đến những lựa chọn tối ưu, an toàn, giảm nguy cơ tử vong gấp nhiều lần, giảm đáng kể các biến chứng nặng về tim mạch sau này cho bệnh nhân cần can thiệp cấp cứu, giúp bệnh nhân không phải chuyển lên tuyến trên, tận dụng tối đa “thời gian vàng” cứu sống người bệnh.

