CHUYÊN MỤC CHUYỆN THƯỜNG NGÀY: <br> Cảnh báo thói quen ăn uống dễ gặp dị vật đường thở
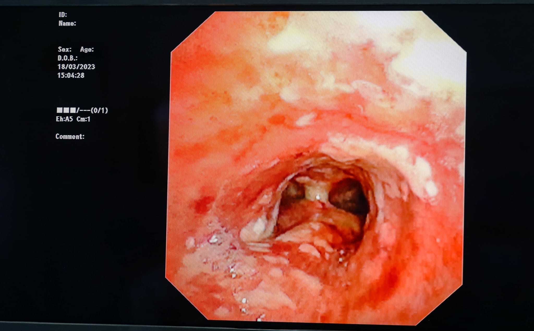
Bệnh nhân nam, 73 tuổi, tiền sử huyết áp, bệnh phổi tắc nghẽn mạn tính vào viện với tình trạng ho sặc sụa, khó thở, tức ngực sau ăn bún ốc. Sau khi được xử trí ban đầu tại bệnh viện gần nhà, bệnh nhân đỡ khó thở, tức ngực nhưng tình trạng ho không giảm, còn xuất hiện ho ra máu, bệnh nhân được chuyển Bệnh viện đa khoa quốc tế Hải Phòng để tiến hành nội soi phế quản. Quá trình nội soi, ThS.BSNT Phạm Đắc Thế – Trưởng Khoa Nội tổng hợp 1 phát hiện dị vật nằm ở ngã 3 khí phế quản, tổ chức xung quanh xung huyết nhiều, dịch mủ vàng, giả mạc trắng 1/3 dưới khí quản và phế quản gốc 2 bên. Nhanh chóng, ekip nội soi tiến hành dùng kìm gắp dị vật thành công. Dị vật gắp ra là vảy ốc lớn, đường kính khoảng 1,5 cm.
Dị vật đường thở là một cấp cứu phổ biến do thói quen ăn uống không cẩn thận. Tình trạng này cần được phát hiện sớm và xử trí kịp thời nếu không có thể nguy hiểm đến tính mạng. Nếu dị vật bị bỏ qua, sẽ gây ra viêm nhiễm tái đi tái lại, có thể gây áp xe trung thất xâm lấn các mạch máu lớn. Đối tượng hay mắc dị vật đường thở là trẻ em do thói quen hiếu động, bên cạnh đó người già cũng dễ mắc do rối loạn phản xạ vùng hầu họng đặc biệt người bị tai biến mạch máu não. Việc cẩn trọng khi ăn uống đặc biệt với những món hỗn hợp (xương hầm, bún ốc…), cần lưu ý hơn trong dịp lễ Tết hay liên hoan, ăn uống đông người là quan trọng để hạn chế mắc dị vật đường thở. Khi bị hóc dị vật cần đến ngay cơ sở y tế để kiểm tra và can thiệp kịp thời. Không chữa mẹo theo mách bảo. Không chậm trễ, để lâu dễ gây những biến chứng nặng nề, thậm chí nguy hiểm đến tính mạng.


