
ĐIỀU TRỊ THÀNH CÔNG CHO NGƯỜI BỆNH XUẤT HUYẾT TIÊU HOÁ DO CÁC TỔN THƯƠNG SAU XẠ TRỊ BẰNG ARGON PLASMA
1 tuần nay bệnh nhân nữ, 59 tuổi mệt mỏi, hoa mắt chóng mặt khi đi lại, đại tiện phân máu đỏ, máu thẫm thành đợt và có tiền sử ung thư cổ tử cung đang xạ trị, hóa chất, đã từng phải truyền máu 2 tháng trước đó. Tiếp nhận người bệnh tại Bệnh viện đa khoa Quốc tế Hải Phòng, qua thăm khám và nội soi kết quả cho thấy, bệnh nhân viêm niêm mạc đại trực tràng do tia xạ, chảy máu.
Nhận định đây chính là nguyên nhân khiến bệnh nhân thiếu máu nặng, đại tiện phân máu trong suốt thời gian vừa qua, người bệnh cần phải truyền máu và can thiệp cầm máu kịp thời, tránh mất máu nhiều nguy hiểm đến tính mạng. Tuy nhiên, không thể cầm máu bằng cách thông thường như kẹp hay chích cầm máu do giãn mao mạch, các mao mạch đang chảy máu, bác sĩ Khoa Tiêu hóa – Nội soi, Bệnh viện đa khoa Quốc tế Hải Phòng đã quyết định sử dụng phương pháp nội soi can thiệp cầm máu, đốt Argon Plasma vào các vị trí mạch máu loạn sản đồng thời truyền máu kịp thời cho người bệnh.
Theo BSCKI. Nguyễn Đăng Tuấn – Phó trưởng Khoa Tiêu hóa – Nội soi: Phương pháp cầm máu bằng Argon Plasma có ưu điểm là đông máu không tiếp xúc, sử dụng khí trơ argon phát ra tia plasma, phân bố năng lượng nhiệt lên các mô xung quanh đầu dò để xử lý tổn thương. Nhờ đó cải thiện tối ưu những tổn thương ở mạch máu, cầm máu nhanh, không gây đau đớn, giảm tai biến. Với bệnh nhân trên, xạ trị gây viêm trực tràng dẫn đến chảy máu; nếu người bệnh không được phát hiện và điều trị hiệu quả, có thể gây ra biến chứng nguy hiểm như thiếu máu cấp tính hoặc mạn tính và tử vong.
Ngay sau can thiệp, tình trạng xuất huyết tiêu hóa của người bệnh đã được kiểm soát, không còn chảy máu, người bệnh đã đại tiện phân vàng. Sức khỏe bệnh nhân dần hồi phục và được xuất viện.
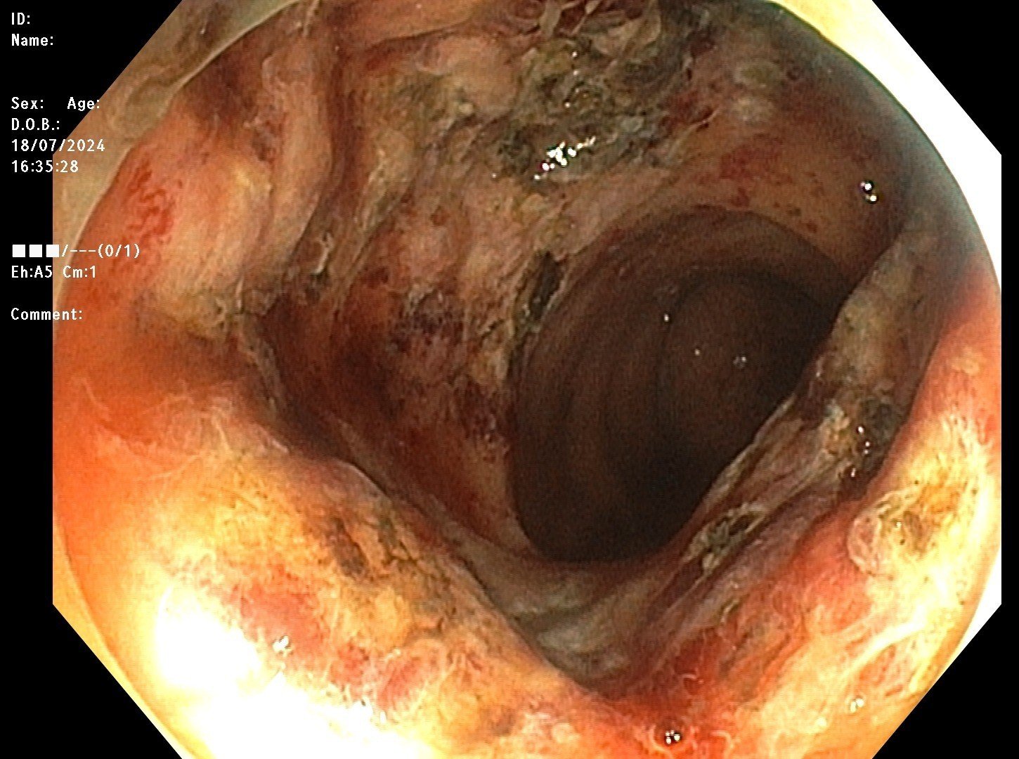
- Hình ảnh trước can thiệp
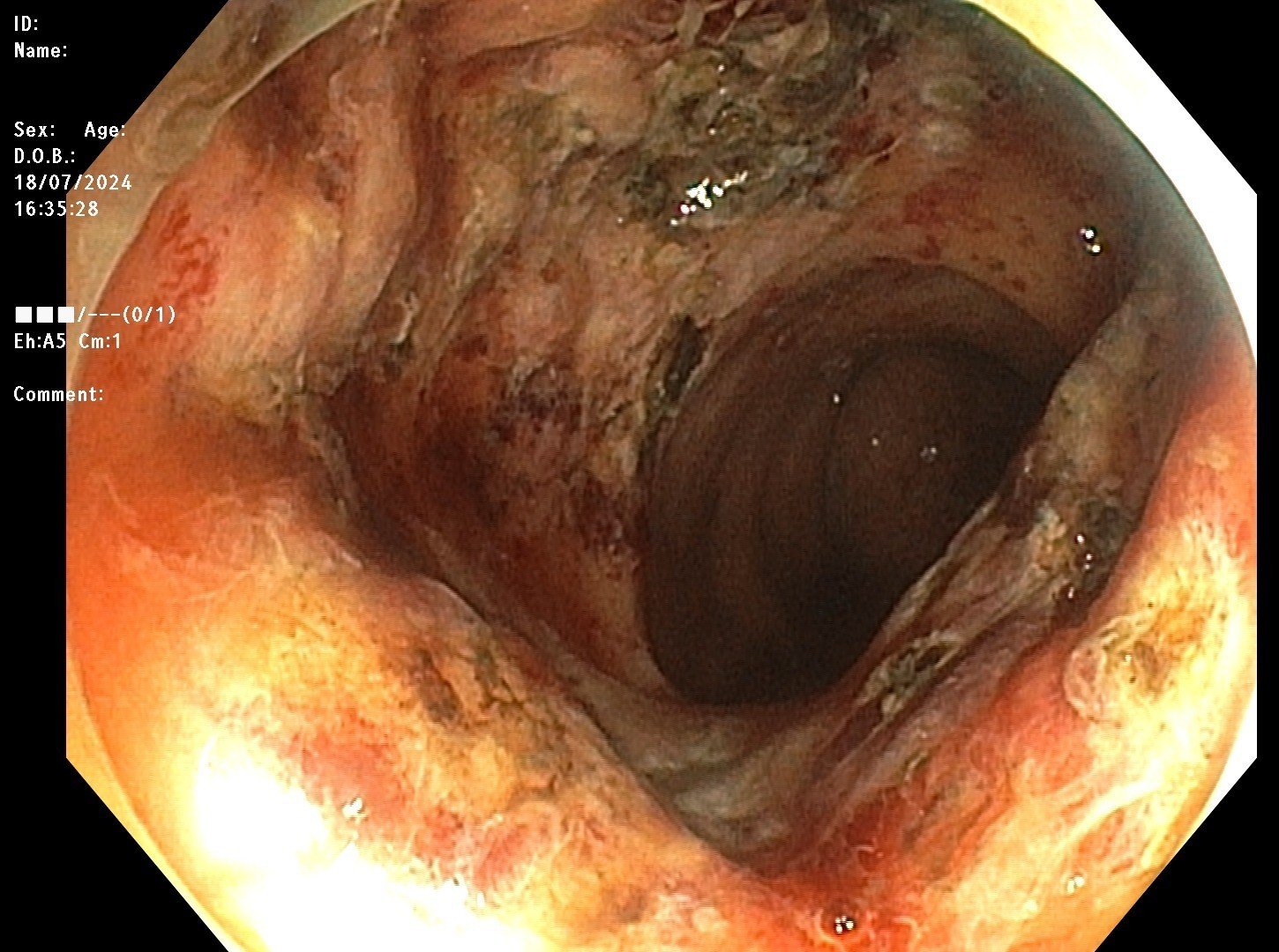
- Hình ảnh sau can thiệp cầm máu, đốt Argon Plasma
Với tổn thương có nhiều mao mạch đang chảy máu thì phương pháp Argon plasma (Argon Plasma Coagulation-APC) là kĩ thuật cầm máu tối ưu. Tại Bệnh viện đa khoa Quốc tế Hải Phòng với đội ngũ chuyên gia, bác sĩ giỏi chuyên môn, giàu kinh nghiệm, làm chủ kỹ thuật đã thực hiện hiệu quả, thường quy trên nhiều ca bệnh, mang lại kết quả điều trị tối ưu, nâng cao chất lượng sống cho người bệnh.
Leave a reply




















