
GẮP KỊP THỜI MẢNH XƯƠNG CÁ NGẠNH SẮC NHỌN TRONG PHẾ QUẢN GỐC PHẢI NGƯỜI BỆNH
Trước khi vào viện 1h, bệnh nhân nữ 61 tuổi đang ăn cá đột ngột thấy nuốt đau, ho, đau ngực phải. Bệnh nhân đã khám tại cơ sở y tế khác soi không phát hiện thấy xương. Tiếp nhận người bệnh tại Bệnh viện đa khoa quốc tế Hải Phòng, các bác sĩ đã thăm khám, hỏi bệnh tỉ mỉ và với kinh nghiệm dầy dặn, bác sĩ đã nghĩ đến khả năng bệnh nhân bị sặc dị vật vào đường thở mà không phải mắc tại thực quản như các trường hợp thông thường. Do đó, bác sĩ thăm khám đã chỉ định cho bệnh nhân chụp CT scanner ngực và kết quả hình ảnh chụp CT ngực phát hiện dị vật trong phế quản gốc phải. Nhanh chóng, các bác sĩ quyết định thực hiện nội soi phế quản dưới gây mê và gắp thành công dị vật là mảnh xương cá, kích thước 4x3cm cho bệnh nhân.
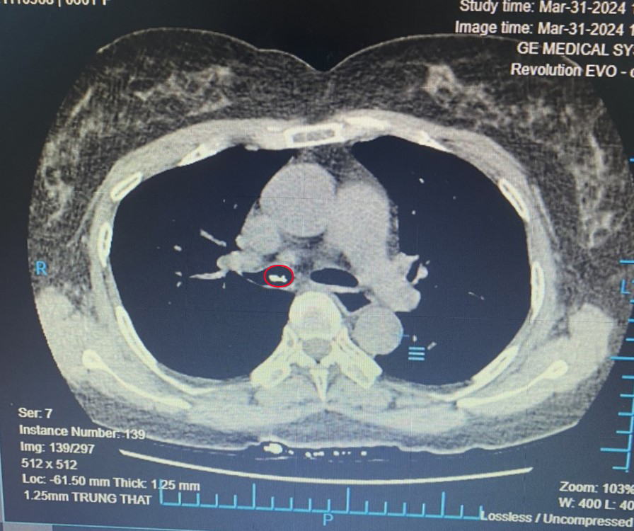
- Hình ảnh dị vật phế quản gốc phải qua CT Scanner
- Hình ảnh dị vật là mảnh xương cá sau khi gắp
Quá trình thực hiện, do dị vật khá lớn, nhiều ngạnh sắc nhọn, nằm sâu trong phế quản gốc phải nên đòi hỏi bác sĩ tiến hành rất nhanh và thận trọng. Nếu kĩ thuật chuyên môn không tốt, mảnh xương sẽ có nguy cơ gây rách khí phế quản, tràn khí trung thất, chảy máu, nhiễm trùng, áp xe phổi. Sau gắp, người bệnh đã hết ho, khó thở và tức ngực.
Dị vật phế quản hiếm gặp nhưng cũng thường xảy ra với người cao tuổi, phản xạ nuốt kém. Nếu không được chẩn đoán và xử trí nhanh chóng dễ dẫn tới các biến chứng nguy hiểm, thậm chí gây tử vong. Nội soi phế quản là một trong những phương pháp phổ biến để lấy dị vật đường thở ít xâm lấn, nhanh chóng và an toàn. Tại Bệnh viện đa khoa quốc tế Hải Phòng, ekip bác sĩ đã phát hiện, xử trí và thực hiện nội soi gắp thành công rất nhiều ca dị vật nguy hiểm.
Qua trường hợp trên bác sĩ cũng khuyến cáo, người dân cẩn thận trong ăn uống, tránh sặc thức ăn nhất là xương cá, xương động vật. Khi có triệu chứng ho sặc khi nuốt, khi đang nhai, thay đổi giọng nói … người bệnh cần đến ngay các bệnh viện, cơ sở y tế gần nhất để được khám và điều trị kịp thời.
Leave a reply





















