
Nhồi máu cơ tim: Đừng bỏ qua những dấu hiệu sớm của bệnh
18h ngày 21/7, bệnh nhân nữ, 83 tuổi ở Lam Sơn, Lê Chân, Hải Phòng có tiền sử tăng huyết áp, đái tháo đường, mỡ máu vào Bệnh viện đa khoa Quốc tế Hải Phòng trong tình trạng đau ngực không đỡ. Bệnh nhân đã được điều trị ban đầu tại một cơ sở y tế trên địa bàn. Qua thăm khám và làm các xét nghiệm cận lâm sàng cần thiết, bác sĩ Bệnh viện đa khoa Quốc tế Hải Phòng phát hiện người bệnh có ST chênh lên, men tim tăng, chẩn đoán nhồi máu cơ tim cấp. Bệnh nhân nhanh chóng được chuyển vào phòng phẫu thuật để tiến hành chụp và thực hiện can thiệp cấp cứu.
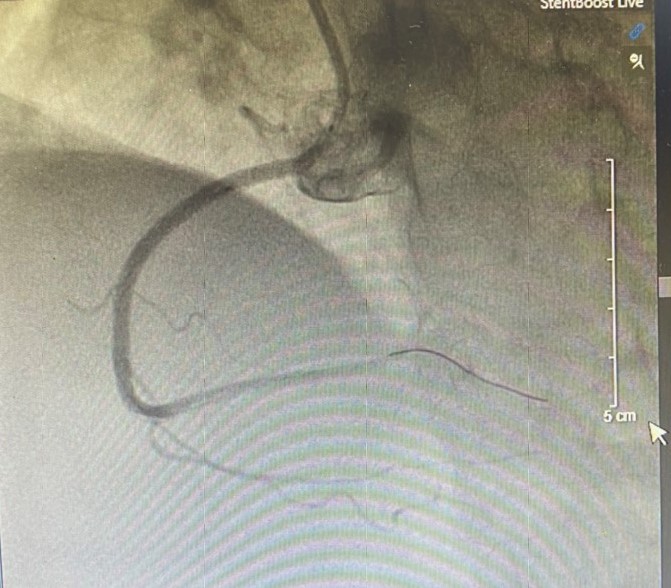
Kết quả chụp mạch vành phát hiện tổn thương nặng 3 thân mạch vành: Tắc hoàn toàn mạch vành phải, hẹp khít liên thất trước và hẹp 80-90% động mạch mũ trên bệnh nhân. Nhận định tổn thương do động mạch vành phải bị tắc hoàn toàn, kíp can thiệp Khoa Tim mạch – Đột quỵ đã nhanh chóng tiến hành tái thông mạch vành phải. Ngay sau khi can thiệp thành công, ghi nhận dòng chảy tốt, bệnh nhân đã ổn định, hết đau ngực. Nhờ được phát hiện can thiệp cấp cứu kịp thời, sử dụng kĩ thuật tiên tiến, đặt stent động mạch vành đã cứu sống bệnh nhân.
- Hình ảnh trước can thiệp
- Hình ảnh sau can thiệp
Nhồi máu cơ tim là bệnh lý nguy hiểm có nguy cơ tử vong cao do tắc nghẽn đột ngột mạch máu nuôi tim. Bệnh thường gặp trên nền người bệnh tăng huyết áp, đái tháo đường, mỡ máu, hút thuốc lá, thuốc lào lâu năm. Nhồi máu cơ tim có thể xảy ra bất ngờ, cũng có những trường hợp diễn biến từ từ nhưng hậu quả để lại đều vô cùng nghiêm trọng. Tại Bệnh viện đa khoa Quốc tế Hải Phòng, các bác sĩ đã gặp nhiều trường hợp và kịp thời can thiệp cấp cứu thành công bệnh nhân nhồi máu cơ tim cùng các bệnh lý tim mạch khác.
ThS.BSNT Vũ Học Huấn – Trưởng Khoa Tim mạch Đột quỵ chia sẻ: Cơn đau thắt ngực là dấu hiệu nhận biết sớm nhất và là triệu chứng điển hình của bệnh động mạch vành. Khi các cơn đau thắt ngực xuất hiện, người bệnh cần đến bệnh viện càng sớm càng tốt để được bác sĩ thăm khám, chẩn đoán và kịp thời chữa trị khi cần thiết.
Leave a reply





















