Phát hiện và gắp thành công dị vật là mảnh xương cá nằm sâu trong lòng phế quản người bệnh hơn 3 năm
Hơn 3 năm sống chung với những cơn ho, ho kéo dài dai dẳng, sốt nhiều đợt do viêm phổi tái diễn khiến ông Đ.N.T, 62 tuổi, ở Tiên Lãng, Hải Phòng rất khó chịu và khổ sở. Mặc dù đã đi nhiều bệnh viện tuyến tỉnh, thành phố đến Trung ương; đã từng uống đủ loại thuốc nhưng bệnh tình không thuyên giảm. Cách đây 6 tháng, người bệnh đã ho ra máu và đặc biệt 2 tuần nay ho máu lẫn đờm nhiều hơn, xuất hiện khó thở nên gia đình đã đưa ông đi khám tại Bệnh viện đa khoa Quốc tế Hải Phòng.
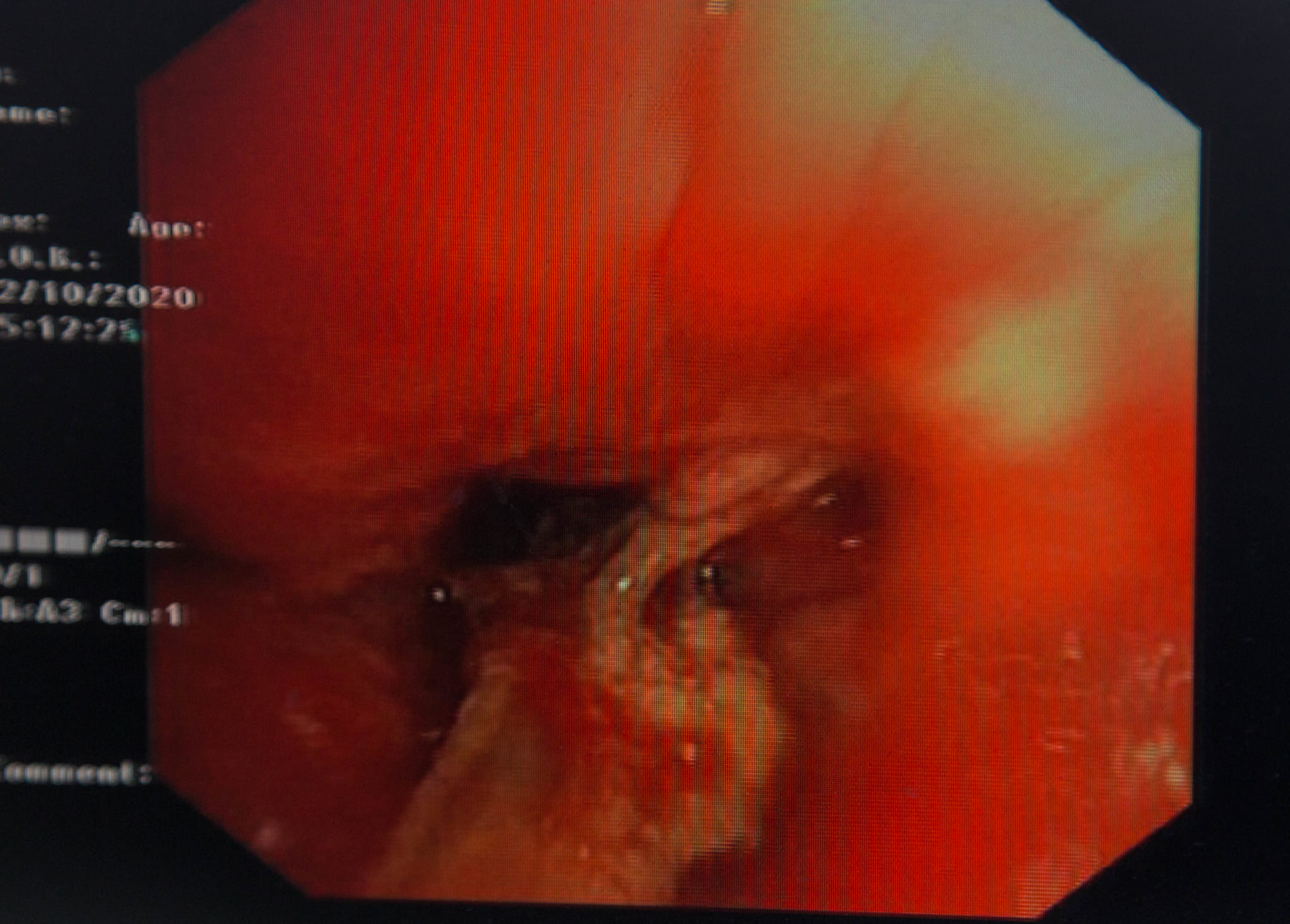
Bệnh nhân được BSCKII Lê Thị Trâm, Trưởng Đơn nguyên Chăm sóc toàn diện thăm khám và qua nghe phổi, bác sĩ đã nghe thấy tiếng rít phế quản ở phổi phải người bệnh. Bệnh nhân đã được chỉ định chụp CT, phát hiện nghi tổ chức cản quang nằm trong lòng phế quản thùy dưới phổi phải. Tiến hành nội soi phế quản, phát hiện thấy phế quản trung gian nhiều tổ chức sùi, chảy máu trong lòng phế quản, nhìn thấy dị vật là mảnh xương nằm vắt ngang phế quản thùy dưới phổi và một phần áp sát phế quản trung gian. Có nhiều mủ chảy ra ở phế quản thùy dưới.
Bệnh nhân đã được BSCKII Lê Thị Trâm, Trưởng Đơn nguyên Chăm sóc toàn diện cùng kíp thực hiện tiến hành nội soi phế quản gắp dị vật, cầm máu. Chỉ sau 30 phút, bác sĩ đã gắp thành công dị vật là mảnh mang xương cá, kích thước 2cm ra khỏi phế quản phải cho bệnh nhân. Ngay sau thủ thuật, tình trạng sức khỏe người bệnh ổn định, đỡ ho, không tức ngực và hết khó thở.
Tìm ra được nguyên nhân ho kéo dài, viêm phổi tái phát nhiều lần và được các bác sĩ Bệnh viện đa khoa Quốc tế Hải Phòng gắp bỏ thành công, bệnh nhân đã rất vui mừng, phấn khởi. Khai thác bệnh sử, hơn 3 năm trước, trong một lần ăn canh cá riêu, bệnh nhân nói to khiến mảnh xương cá tụt xuống họng. Cứ nghĩ mảnh xương sẽ tự trôi xuống dạ dày nên người bệnh không đi khám hay điều trị gì, cho đến nay…
Theo BSCKII Lê Thị Trâm, dị vật đường thở bị bỏ quên thường không có triệu chứng rõ ràng, rất dễ bị bỏ sót, ngoài ra bệnh nhân không nhớ rõ tiền sử nên khó khăn trong quá trình chẩn đoán, dễ nhầm lẫn với viêm phổi, ung thư phổi, giãn phế quản… Qua đây, bác sĩ cũng khuyến cáo, các trường hợp ho kéo dài, sặc dị vật… cần được khai báo chính xác đến nhân viên y tế để được kiểm tra và nội soi phế quản kịp thời.




