
Phẫu thuật thay khớp háng thành công giúp cụ ông 91 tuổi bị gãy cổ xương đùi thoát khỏi nguy cơ tử vong
Bệnh nhân là cụ ông 91 tuổi, ở thị trấn Cát Bà, Cát Hải, Hải Phòng, ba ngày trước khi vào viện bệnh nhân bị ngã ngồi khi đang sinh hoạt tại nhà. Sau ngã bệnh nhân đau nhiều vùng háng trái và không thể ngồi dậy đi lại được, bệnh nhân chỉ có thể nằm và vệ sinh tại giường kèm đau đớn ngày đêm. Với tiền sử tăng huyết áp, tai biến mạch máu não cách đây 2 tháng, yếu nửa người trái, bệnh nhân được người nhà đưa vào Bệnh viện đa khoa Quốc tế Hải Phòng thăm khám. Tại đây, bệnh nhân được bác sĩ xác định gãy cổ xương đùi trái trên thể trạng già yếu có bệnh lý tim mạch rất nặng kèm theo. Nếu không can thiệp sớm sẽ dẫn đến nhiều biến chứng của gãy xương trên người già có thể nguy hiểm đến tính mạng.
Bệnh nhân đã được thăm khám hội chẩn đa chuyên khoa gồm chuyên khoa Ngoại Chấn Thương Chỉnh Hình, Tim mạch, Hồi sức, Gây mê, Phục hồi chức năng được xác định chẩn đoán: Gẫy cổ xương đùi trái/ Rung nhĩ cơn, Ngoại tâm thu nhĩ, ngoại tâm thu thất, hẹp 90% gốc động mạch cảnh trong trái, tắc mạn tính động mạch cảnh trong trái đoạn nội sọ, tắc mạn tính động mạch đốt sống, yếu nửa người trái. Sau khi hội chẩn và đánh giá kỹ lưỡng, phương án điều trị mà các bác sĩ đưa ra là: Phẫu thuật thay khớp háng trái bán phần kết hợp hồi sức, điều trị bệnh lý tim mạch kèm theo và tập phục hồi chức năng sớm sau mổ cho bệnh nhân.
- Hình ảnh trước mổ: gãy cổ xương đùi trái của bệnh nhân
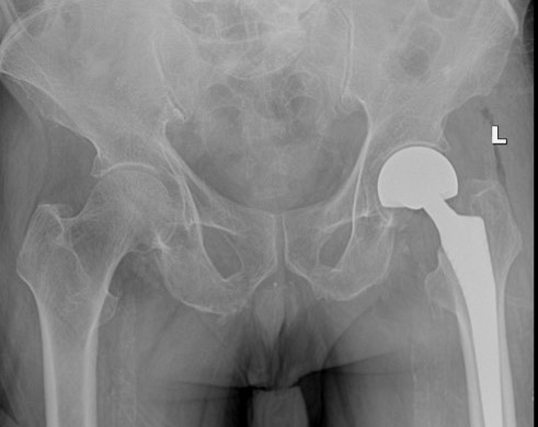
- Hình ảnh sau mổ của bệnh nhân
Với sự chuẩn bị kĩ càng và đầy đủ trước mổ cùng trình độ chuyên môn cao của phẫu thuật viên, sự phối hợp đồng bộ nhiều chuyên khoa mà ca mổ đã diễn ra rất thành công. Ngay sau mổ bệnh nhân đã có thể ngồi dậy tại giường, vận động hai chân tốt, tránh được các biến chứng nguy hiểm. Sau mổ bệnh nhân đau ít, vết mổ liền tốt.

BSCKI Nguyễn Đức Hoà – người trực tiếp thực hiện ca phẫu thuật chia sẻ: Với trường hợp bệnh nhân thể trạng già yếu, có bệnh lý nội khoa nặng kèm theo không may bị gãy cổ xương đùi thì phương án thay khớp háng bán phần như một cứu cánh, trước tiên giúp người bệnh có thể ngồi dậy, xoay trở mình để tránh các biến chứng do nằm lâu cũng như các biến chứng bệnh nội khoa nặng kèm theo, sau đó bệnh nhân tập luyện phục hồi dần và có thể trở lại sinh hoạt như trước khi bị gãy xương.
Trước đây, gãy khớp háng ở người lớn tuổi là một thách thức đối với các phẫu thuật viên và bác sĩ gây mê vì người bệnh lớn tuổi sức yếu, có nhiều bệnh lý đi kèm. Tuy nhiên hiện nay tại Bênh viện đa khoa Quốc tế Hải Phòng với đội ngũ bác sỹ, điều dưỡng chuyên môn cao cùng đầy đủ các phương tiện, trang thiết bị tiên tiến, hiện đại thì người lớn tuổi hoàn toàn có thể trải qua một cuộc phẫu thuật an toàn qua đó cải thiện rõ rệt chất lượng cuộc sống và kéo dài tuổi thọ. Đặc biệt, Bệnh viện luôn đảm bảo an toàn và sự an tâm cho bệnh nhân khi đến khám và điều trị trong tình hình dịch Covid -19 đang diễn ra phức tạp như hiện nay.
Leave a reply





















