Tăng huyết áp ở người trẻ: Không thể lơ là
Tăng huyết áp là bệnh lý tim mạch thường gặp ở người cao tuổi, và thường không xác định nguyên nhân, chiếm tới 95%. Trong thực tế người cao tuổi dễ mắc tăng huyết áp, đặc biệt ở những người có yếu tố nguy cơ như: béo phì, uống nhiều rượu, hút thuốc lá, ăn mặn, ít hoạt động thể lực. Tăng huyết áp gặp với tỷ lệ thấp hơn nhiều ở người trẻ tuổi (< 35 tuổi) (chiếm khoảng 5%) và thường có nguyên nhân như: bệnh thận mạn tính, hẹp động mạch thận, hẹp eo động mạch chủ, do thuốc, các nguyên nhân nội tiết như: u tủy thượng thận, u vỏ thượng thận, bệnh tuyến giáp/cận giáp…, một bộ phận nhỏ trong số đó có yếu tố gia đình. Tâm lý, nhận thức của phần lớn bệnh nhân và một bộ phận nhân viên y tế là tăng huyết áp thì chỉ cần dùng thuốc hạ áp, còn việc đi tìm nguyên nhân nhiều khi chưa được quan tâm thỏa đáng.
Thời gian qua, Khoa Nội tổng hợp 1 (Hô hấp – Nội tiết – Bệnh nhiệt đới), Bệnh viện đa khoa quốc tế Hải Phòng đã tiếp nhận một bệnh nhân nữ trẻ tuổi (34 tuổi), nhập viện vì tăng huyết áp kèm hạ kali máu. Khai thác tiền sử, bệnh nhân phát hiện bệnh 2 năm nay nhưng chưa tìm được nguyên nhân. Bệnh nhân được điều trị hạ huyết áp bằng thuốc. Tại thời điểm vào viện huyết áp của bệnh nhân là: 179/127 mmHg (ngưỡng giới hạn bình thường là 140/90), kali máu hạ: 2.4 mmol/l (ngưỡng giới hạn bình thường là 3.5).
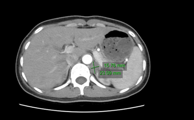
Qua thăm khám đánh giá, bệnh nhân được chỉ định thêm một số cận lâm sàng, kết quả: hormon vỏ thượng thận (aldosteron) tăng rất cao trong máu, renin máu giảm rất thấp, chụp cắt lớp ổ bụng cho thấy hình ảnh u thượng thận trái kích thước 15 x 20 mm. Bệnh nhân được chẩn đoán Hội chứng Conn hay còn gọi là khối u thượng thận sản sinh aldosteron gây nên cao huyết áp thứ phát. Bệnh nhân được hạ áp bằng amlor, bù kali và chuyển khoa Ngoại tổng hợp, Bệnh viện đa khoa Quốc tế Hải Phòng mổ cắt bỏ tuyến thượng thận trái. Sau mổ, huyết áp bệnh nhân và kali máu trở về bình thường mặc dù không sử dụng thuốc huyết áp và không bù kali.

Hội chứng Conn có nguyên nhân chủ yếu do u vỏ thượng thận tăng sản xuất aldosteron. Aldosteron là một hormon đóng vai trò quan trọng trong việc duy trì mật độ Natri và Kali bình thường trong máu, kiểm soát thể tích máu và huyết áp. Renin là một enzym kiểm soát sự sản xuất aldosteron. Trong hội chứng Conn, hormon aldosteron tăng, renin máu giảm, với triệu chứng biểu hiện đặc trưng bởi cao huyết áp đặc biệt ở người trẻ tuổi kèm hạ kali máu.
Qua trường hợp bệnh trên, bác sỹ chuyên khoa nhận định: trước một trường hợp bệnh nhân trẻ tuổi tăng huyết áp hãy tìm nguyên nhân để có điều trị đặc hiệu. U vỏ thượng thận là bệnh lý nội tiết không hẳn là hiếm gặp, việc chẩn đoán sớm, điều trị phẫu thuật giúp điều trị triệt căn nguyên nhân tăng huyết áp đưa bệnh nhân trở lại cuộc sống bình thường tránh được những biến chứng do tăng huyết áp cùng với nó là những tác phụ do thuốc hạ áp gây ra bên cạnh lợi ích kinh tế.


