
Uống thuốc khi ho: Cảnh báo hóc dị vật ở người lớn
Bệnh nhân nam, 63 tuổi, ở Hòa Bình, Thủy Nguyên, Hải Phòng có tiền sử đau xương khớp, thoái hóa cột sống, thắt lưng nên đã sử dụng một số thực phẩm chức năng bổ trợ, trong đó có canxi và một loại thuốc khác. Quá trình uống thuốc, khi vừa cho 2 viên thuốc vào miệng, bệnh nhân bỗng xuất hiện cơn ho, sặc xuống đường thở. Ngay sau đó bệnh nhân ho sặc sụa, tức ngực, khó thở nhẹ và được đưa vào bệnh viện tuyến huyện. Tại đây, kết quả chụp Xquang phát hiện người bệnh có dị vật đường thở, được chuyển sang Bệnh viện đa khoa quốc tế Hải Phòng.
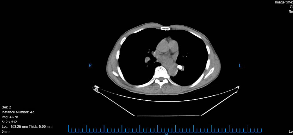
Bệnh nhân được bác sĩ thăm khám và xử trí ban đầu. Kết quả chụp CT ngực có tái tạo 3D phát hiện dị vật đường thở ở thùy dưới phổi bên trái, bệnh nhân nhanh chóng được tiến hành nội soi gắp dị vật có phối hợp chuyên gia Hà Nội. Quá trình thực hiện phát hiện, lòng phế quản có một phần viên thuốc, ekip đã tiến hành sử dụng rọ để lấy đồng thời tiếp tục bơm nước rửa nhiều lần và lấy nốt phần còn lại ra thành công. Sau gắp, bệnh nhân đã hết tức ngực, hết khó thở và ổn định.
- Hình ảnh chụp CT ngực của bệnh nhân
- Hình ảnh dị vật qua nội soi của bệnh nhân
Theo THS.BSNT Phạm Đắc Thế – Phụ trách Khoa Nội tổng hợp 1, Bệnh viện đa khoa quốc tế Hải Phòng – người trực tiếp thực hiện ca gắp dị vật chia sẻ, hóc dị vật là tai nạn sinh hoạt không hiếm gặp trong đời sống. Tình trạng này dễ xảy ra do sơ suất, bất cẩn trong khi ăn uống, thói quen ngậm các vật bằng miệng. Đối tượng nguy cơ là người cao tuổi do rối loạn nuốt, trẻ nhỏ do đặc tính hiếu động. Nếu không được phát hiện, xử lý và cấp cứu kịp thời thì có thể nguy hiểm đến tính mạng, nhất là đối với trường hợp người lớn tuổi. Qua đây bác sĩ cũng khuyến cáo, khi uống thuốc người bệnh nên uống từng viên, tránh uống nhiều viên cùng một lúc, đang ho không uống thuốc và người già cần đặc biệt thận trọng khi dùng thuốc.
- ThS.BSNT Phạm Đắc Thế – Phụ trách Khoa Nội tổng hợp 1, Bệnh viện đa khoa quốc tế Hải Phòng thực hiện ca gắp dị vật thành công
- Bệnh nhân ổn định sau ca gắp dị vật






















