Viêm giác mạc do Herpes: Phát hiện sớm để điều trị khỏi
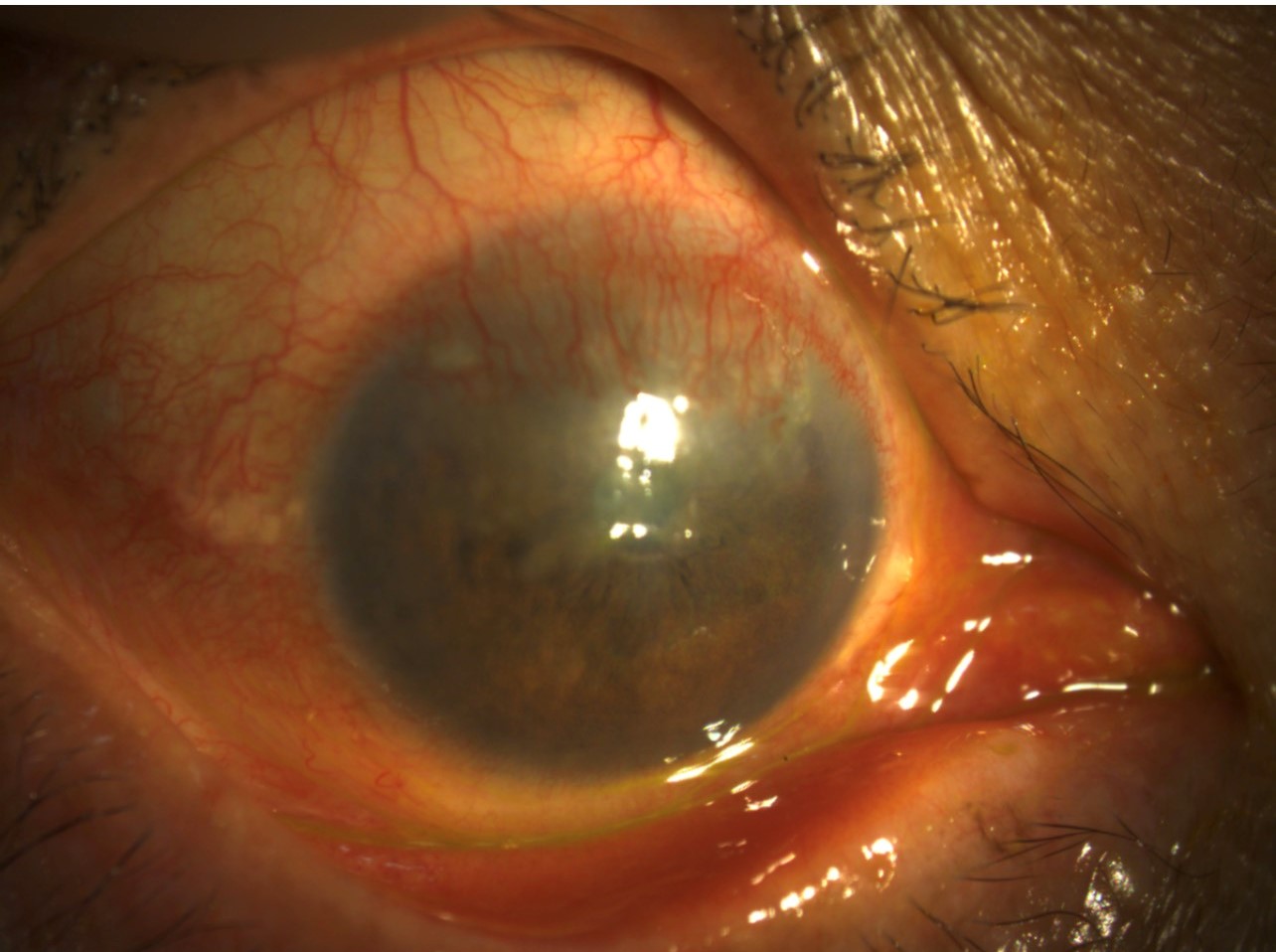
Bệnh nhân nam 68 tuổi, ở Cát Dài, Lê Chân, Hải Phòng có tình trạng sưng mắt, mắt đỏ, nhìn không rõ. Bệnh nhân đã đi khám và điều trị tại nhiều nơi nhưng bệnh tình chưa thuyên giảm mà ngày càng nặng lên. Ngày 12/9, bệnh nhân đến khám tại Bệnh viện đa khoa quốc tế Hải Phòng. Qua thăm khám, Ths.BS. Hoàng Thị Hải Hà – Phụ trách Trung tâm Mắt đã phát hiện mắt phải bệnh nhân bị viêm giác mạc do virus Herpes, màng máu giác mạc; thị lực mắt phải 1/10 kính không tăng. Ngay sau đó, bệnh nhân được điều trị theo phác đồ viêm giác mạc do Herpes. Được phát hiện và kịp thời điều trị theo phác đồ, tình trạng của bệnh nhân thuyên giảm nhanh chóng, ngày 12/10 tái khám lần 2, mắt phải của người bệnh đã tăng 5/10 và qua kính là 7/10, mắt hết sưng đỏ, thị lực cải thiện rõ rệt.
Viêm giác mạc do herpes là một bệnh nhiễm virus ở mắt. Thường biểu hiện bằng viêm chấm nông li ti ở giác mạc, có thể thoáng qua rồi khỏi. Tuy nhiên, với một số người bệnh, các chấm viêm có thể nặng lên thành ổ loét giác mạc, điều trị khó khăn, bệnh hay tái phát và để lại di chứng (sẹo giác mạc). Các triệu chứng của viêm giác mạc có thể bao gồm: Đau, đỏ mắt, mờ mắt, chảy nước mắt và nhạy cảm với ánh sáng. Nếu nhiễm trùng bề mặt ngoài của giác mạc thường sẽ lành mà không để lại sẹo. Nếu tổn thương các lớp sâu hơn của giác mạc thì nhiễm trùng có thể dẫn đến sẹo giác mạc, giảm thị lực và mù mắt.

Qua ca bệnh, Ths.BS. Hoàng Thị Hải Hà – Phụ trách Trung tâm Mắt, Bệnh viện đa khoa quốc tế Hải Phòng cũng khuyến cáo cách phòng bệnh là cần tránh xa các nguồn lây do dịch tiết từ những tổn thương của người bệnh bị herpes. Nếu người mẹ mang thai bị herpes đường sinh dục thì phải điều trị khỏi trước khi sinh hoặc phải mổ đẻ để tránh lây nhiễm cho con. Khi đã bị nhiễm herpes phải nâng cao thể trạng bằng việc tập luyện, có chế độ làm việc, sinh hoạt


