
Phình động mạch Thân tạng: Nhân một ca bệnh lý hiếm gặp nhưng nguy hiểm và có thể diễn tiến khó lường
Các bác sĩ Khoa Tim mạch – Đột quỵ, Bệnh viện đa khoa Quốc tế Hải Phòng vừa tiếp nhận một bệnh nhân bị phình động mạch thân tạng, một bệnh lý nguy hiểm và rất hiếm gặp.
Bệnh nhân P.H, 64 tuổi, ở Cao Nhân, Thủy Nguyên, Hải Phòng tối trước ngày vào viện xuất hiện đau bụng thượng vị dữ dội, đau xuyên ra sau lưng , đau âm ỉ liên tục, thỉnh thoảng trội cơn. Với tiền sử tăng huyết áp, đái tháo đường type 2 nhiều năm đang điều trị, hẹp động mạch vành 50% LAD1, hẹp 40% RCA II, sau khi thăm khám kỹ càng, tiên lượng các yếu tố, nghĩ nhiều đến nguyên nhân đau bụng do nhóm bệnh lý mạch máu gây ra, các bác sỹ đã chỉ định chụp MSCT ổ bụng và phát hiện động mạch thân tạng của bệnh nhân bị lóc tách nội mạc, phình hình thoi kích thước 12mm trên đoạn dài 20mm. Đồng thời qua siêu âm tim cho thấy giảm vận động 2/3 thành bên, thành trước, thành sau thất trái về phía đáy mức độ vừa, chức năng tâm thu thất trái giảm EF 33%. Các sĩ Bệnh viện đa khoa Quốc tế Hải Phòng chẩn đoán người bệnh Phình tách động mạch thân tạng cấp tính trên nền Suy tim EF giảm, bệnh tim thiếu máu cục bộ, tăng huyết áp, Đái tháo đường type 2, RLMM, Suy thận mạn.
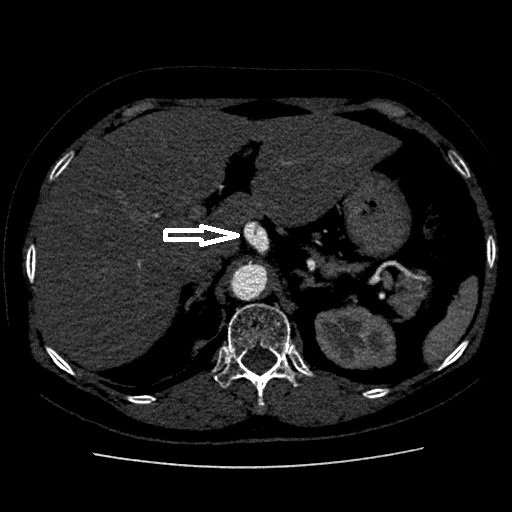
- Phình tách hình thoi động mạch thân tạng kích thước 12 x 20mm
- Phình tách hình thoi động mạch thân tạng kích thước 12 x 20mm
Động mạch thân tạng là một nhánh được tách ra từ động mạch chủ bụng cung cấp máu nuôi gan, lách, tuyến tụy và một phần ống tiêu hóa. Phình động mạch thân tạng rất hiếm gặp chỉ chiếm 0,1-0,2% và 4-5,9% trong các phình mạch tạng, có thể gây biến chứng nguy hiểm. Tuy nhiên bệnh lại ít có triệu chứng rõ rệt, có thể nhầm lẫn chẩn đoán sang các bệnh lý tiêu hóa khác và chỉ thường được phát hiện tình cờ khi sử dụng các phương tiện chẩn đoán hình ảnh qua ổ bụng hoặc khi được các bác sỹ tiên lượng kỹ đến các nhóm bệnh lý hiếm gặp.
Biến chứng nguy hiểm đầu tiên ta có thể nói tới đó là thủng hoặc vỡ khối phình. Tỷ lệ vỡ khối phình rất cao nếu không được điều trị nội khoa, kiểm soát huyết áp và nhịp tim ổn định, ngay cả với những túi phình kích thước nhỏ, khi vỡ túi phình thì máu từ túi phình vỡ sẽ ồ ạt chảy vào ổ bụng và bệnh nhân nhanh chóng bị hội chứng mất máu và rất dễ tử vong.
Biến chứng thứ hai đề cập đến đó là chỗ lóc tách nội mạc của khối phình tiến triển, lòng giả đè ép lòng thật nhiều, gây giảm tưới máu trầm trọng các cơ quan nội tạng của cơ thể được cấp máu bởi động mạch xuất phát từ phía sau chỗ lóc tách. Nếu bệnh nhân không được phát hiện và kiểm soát bệnh kịp thời, biến chứng thiếu máu tạng có thể diễn tiến xấu, khi đó phương pháp can thiệp bắt buộc sẽ là can thiệp đặt Stent động mạch thân tạng tại chỗ Phình tách hoặc Phẫu thuật ngoại khoa.
Trở lại với trường hợp của bệnh nhân P.H với nhiều bệnh lý phức tạp, các bác sĩ Khoa Tim mạch – Đột quỵ đã lên phác đồ điều trị phù hợp và an toàn nhất cho bệnh nhân. Bệnh nhân được kiểm soát chặt chẽ tình trạng huyết áp, nhịp tim, đường máu, mỡ máu, cân bằng dịch điện giải, sử dụng kháng ngưng tập tiểu cầu ngăn hình thành các cục máu đông cấp tại chỗ lóc tách, PPI. Sau 9 ngày điều trị tích cực, bệnh nhân đã hết đau bụng, huyết áp và mạch ổn định. Qua siêu âm kiểm tra đánh giá lại sau điều trị, hiện còn phình hình thoi động mạch thân tạng kích thước 10x14mm, không thấy huyết khối, chỗ lóc tách nội mạc đã ổn định.

Sau điều trị, Phình tách hình thoi động mạch thân tạng kích thước 10 x 14mm, chỗ lóc tách nội mạc đã ổn định
BS. Phùng Đại Hải, Khoa Tim mạch – Đột quy, Bệnh viện đa khoa Quốc tế Hải Phòng khuyến cáo: Người có tiền sử hút thuốc lá, tăng huyết áp, từng mắc các bệnh về mạch máu hoặc gia đình có người bị bệnh về động mạch nên chủ động thăm khám định kỳ để được điều trị tốt các bệnh nền, tránh nguy cơ biến chứng cao khi biến cố xảy ra. Ngay khi có các triệu chứng ở bụng, người bệnh nên đến cơ sở y tế để được bác sĩ thăm khám và điều trị kịp thời, tránh các biến chứng nguy cơ cao xảy ra.
Leave a reply





















